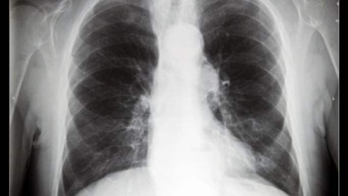
Günümüzde bilgisayarlı tomografiler çok daha ince kesitler alabilen, ileri teknolojili aygıtlardır. Tomografi ile çok iyi bir şekilde akciğer tanısı konulabilir.
MR ise her hastada gerekmez. Ancak çok özel durumlarda MR çektirmek gerekebilir. Örneğin, akciğer kanserinin belli alanlara yayılmasını MR tomografiden daha iyi gösterir. Ancak bu hasta grubu yüzde 5’in altındadır. Dolayısıyla pratikte akciğer kanseri tanısında en önemli radyolojik tanı yöntemi tomografidir.
PET yöntemi
Tomografi akciğer için çekildikten sonra, aynı kesitte karaciğer ve böbrek üstü bezlerin de alınır. Çünkü akciğerin en sık yayıldığı yerler karaciğer, böbrek üstü bezler ve beyin dokusudur.Var olan akciğer kanserinin başka yerlere yayılıp yayılmadığını anlamak için, tarama amacıyla bir de beyin MR’ı çekilir.
Bir de son zamanlarda kullanılan PET vardır. PET, Pozitron Emisyon Tomografi denilen yöntemin kısaltmasıdır. PET’in tomografiden farkı, PET’in oradaki kitlenin tümör olup olmadığını gösterebilmesidir. Çünkü içindeki biyolojik davranışını gösterebilir.
Dolayısıyla giderek artan oranda PET de akciğer kanseri tanısında kullanılmaktadır.
Akciğer Kanseri İçin Kan Testi Çalışmaları
Prof. Dr. Nurettin LÜLECİ
Merhabalar hocam, ben diyarbakirdan size yaziyorum, teyzem su an 38 yasinda ve meme kanseri teşhisi konuldu. Kanser 4. Evredeymis ve akciğer karaciğer... devamı

Uyku Hapları Kanser Ve Ölüm Riskini Artırıyor
Akciğer Kanseri Taramasında Kullanılan Yöntemler
Akciğer Kanserinin Tedavisi
Akciğer Kanserinde Kemoterapi Uygulaması
Akciğer Kanserinde Cerrahi Tedavi