- İçindekiler
- Nedir
- Sebepleri
- Belirtileri
- Teşhisi

Nedir
Bronşit Nedir?
Bronşit ciğerlere hava taşıyan kanalların iltihaplanması veya tahriş olmasıdır. Böyle bir şey meydana geldiğinde kanallar şişer ve balgam üretir. Bu öksürmenize sebep olur. İki tip bronşit vardır:
- Akut bronşitler genellikle hızla ortaya çıkar ve 2 ila 3 hafta içinde iyileşir. Akut bronşit hastalığına yakalanan birçok insan herhangi bir sorun yaşamadan iyileşmektedir.
- Kronik bronşit nükseder ve özellikle sigara içen insanlarda uzun sürebilir. Kronik bronşit bir ayın çoğu gününde veya bir yılda üç aydan fazla bir süre veya en az iki yıl arka arkaya balgamlı öksürüğünüz olması anlamına gelir.
Bu yazı akut bronşit üzerinedir. Hem çocuklar hem de yetişkinler akut bronşit olabilir.
Sebepleri
Sebepler
Akut bronşite genellikle bir virüs sebep olmaktadır. Kişiler genellikle soğuk algınlığı veya grip gibi bir üst solunum yolları enfeksiyonundan sonra akut bronşit olur. Bazı nadir vakalarda akut bronşite bakteriler sebep olur. Ayrıca sigara dumanı gibi bronş kanallarını tahriş eden şeyler soluma da akut bronşite sebep olabilir. Ayrıca kişinin ciğerlerine yiyecek veya kusmuk kaçmasıyla da meydana gelebilir.
Belirtileri
Belirtiler
En yaygın akut bronşit ilk başta kuru olan sonradan balgam getiren öksürüktür. Düşük bir ateşiniz olabilir ve kendinizi yorgun hissedebilirsiniz. Akut bronşit belirtileri genellikle bir üst solunum yolu enfeksiyonunun başlamasından üç veya dört gün sonra ortaya çıkar. İki veya üç hafta içinde iyileşme olur. Fakat bazı insanlar 4 hafta boyunca öksürmeye devam edebilir. Zatürree de akut bronşite benzeyen belirtiler gösterebilir. Zatürre ciddi olabileceği için bu iki hastalık arasındaki farkı bilmek önemlidir. Zatürre belirtilerine yüksek ateş, sıtma nöbetleri ve sığ nefes eşlik eder.
Teşhisi
Teşhis
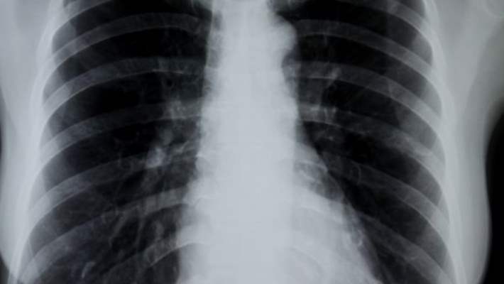
Doktorunuz size belirtileriniz hakkında sorular soracak ve sizi muayene edecektir. Bunlar doktora genellikle akut bronşit olup olmadığını tespit etmek için yeterli bilgi verir. Bazı vakalarda doktor zatürree veya başka bir akciğer probleminin olmadığından emin olmak için göğüs röntgeni isteyebilir.
Çocuklarda Bronşit Nasıl Anlaşılır?
Prof. Dr. Erol TAŞDEMİROĞLU
Hocam mr sonucunu yolluyorum. Servikal aks duzlesmis olup üst kısımlarda kifoz gelişmiştir. Çok sayıda diskte dejeneratif sinyal kayıpları gözlenmekt... devamı
Amfizem
Toza Maruz Kalma
Dumana Maruz Kalma
Virüse Bağlı Farenjit (Genel Bilgiler)
Akut Bronşit