Nedir

Avasküler nekroz kan akışının kesilmesine bağlı olarak gelişen kemik dokusu ölümüdür. Osteonekroz olarak da adlandırılan avasküler nekroz kemiğin içinde küçük kırılmalara ve sonuç olarak kemikte çökmeye neden olabilir.

Kemiğin kırılması ya da eklemin yerinden çıkması sonucunda kemiğin bir bölümüne kan akışı kesilebilir. Avasküler nekroz uzun süre ve yüksek dozda steroid ilaç kullanımı ya da aşırı alkol alımıyla da ilgili olabilir.

Avasküler nekrozdan en sık olarak etkilenen eklem kalça eklemidir. Avasküler nekroz zamanla kötüleşir; bu nedenle hastalığı kontrol altına almak hayat boyu süren bir süreçtir.

Belirtileri

Belirtileri

Avasküler nekroz genellikle ağrıya ve etkilenmiş eklemde hareket açıklığının azalmasına neden olur. Avasküler nekrozdan en sık olarak etkilenen eklemler şunlardır:

  • Kalça: Kalça eklemindeki ağrının yanı sıra, ağrı kasıklarınıza yayılabilir veya kalçanızdan dizlerinize kadar inebilir.
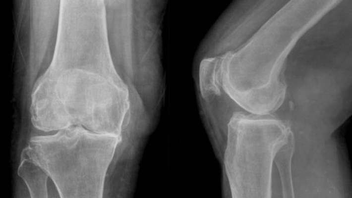
  • Diz: Dizin avasküler nekrozunda ağrı genellikle dizlerde olur ve hareket ettikçe kötüleşir.
  • Omuz: Omuzda birleşen birkaç kemik vardır ama avasküler nekrozdan en sık etkilenen kemiklerden biri üst kol kemiğidir.

Avasküler nekroz bazı kişilerde çift yönlü, örneğin her iki kalçada ya da her iki dizde meydana gelir.  Eğer neden bir yaralanmaysa işaretler ve belirtiler birden ortaya çıkabilir. Diğer durumlarda, ağrı ve sertlik birkaç ayda yavaşça meydana gelebilir. Avasküler nekroz olan bazı kişilerdeyse hiçbir belirti görülmez.

Avasküler nekrozdan etkilenen diğer eklemler şunlardır:

  • Ayak bilekleri
  • Ayaklar
  • Eller
  • Çene
  • Omurga
  • Bilekler

Doktora Ne Zaman Başvurmalı?

Herhangi bir ekleminizde ısrarcı ağrı olması durumunda doktorunuza başvurun. Eğer bir kemiğinizin kırıldığını ya da ekleminizin yerinden çıktığını düşünüyorsanız acil olarak tıbbı yardım isteyin.

Sebepleri

Sebepleri

Avasküler nekroz kan akışı kesildiğinde ya da azaldığında gelişir. Aşağıdakiler avasküler nekroza neden olabilir:

  • Eklem yaralanması: Kemik kırılması veya bir eklemin yerinden çıkmasıyla sonuçlanan darbeler de bölgedeki kan damarlarının hasar görmesine ya da yıkıma uğramasına neden olabilir. Düzenli oksijen ve besin desteği olmadığında kemik hücreleri ölür.
  • Daralmış kan damarları: Çoğunlukla yağ parçacıklarıyla ya da orak hücreli anemi durumunda, deforme olmuş kan hücresi kümeleri nedeniyle damarın içindeki geçitte daralma ya da tıkanma oluştuysa, kemiğe giden kan akışında azalma olabilir.
  • Kemik içi basınç: Bazı ilaç tedavileri ya da Leg Calve Perthes veya Gaucher hastalığı gibi sağlık sorunları kemik içi basıncını artırabilir. Bu durum kemiklere taze kan girişini zorlaştırır.

Risk Faktörleri

Risk Faktörleri

Avasküler nekrozun en yaygın görülen iki risk faktörü şunlardır:

  • Kortikosteroidler: Uzun süre boyunca ve yüksek dozda prednizon gibi kortikosteroidler alan, örneğin romatoid artrit ve lupus (deri veremi) gibi kronik hastalıkları olan kişilerde avasküler nekroz görülmesi daha muhtemeldir.
  • Aşırı alkol kullanımı: Birkaç sene boyunca günde birkaç kadeh alkol almak kan damarlarınızda yağ tortusu oluşmasına neden olabilir. Bu durum kemiklerinize kan akışını sınırlayabilir. Günlük tüketilen alkol miktarı arttıkça avasküler nekroz meydna gelme riski de artacaktır.

Komplikasyonları

Komplikasyonları

Osteoporoz ilaçları çeneye zarar verebilir:

Osteoporoz nedeniyle güçsüzleşen kemikleri kuvvetlendirmek amacıyla kullanılan bir ilaç olan bifosfonat alan kişilerin çene kemiğinde osteonekroz (kemik nekrozu) meydana gelebilir. Kemiklerde kanser nedeniyle oluşan hasarı gidermek ya da önlemek amacıyla, damar yoluyla (intravenöz-IV) yüksek dozda bifosfonat alan kişiler için bu risk daha yüksektir.

Tıbbi işlemler riski artırabilir:

Bazı tıbbi işlemler kemikleri güçsüzleştirerek kemiklerde avasküler nekroz gelişimini kolaylaştırabilir. Bu işlemlere verilebilecek örnekler şunlardır:

  • Kemoterapi ya da radyasyon gibi bazı kanser tedavileri
  • Böbrek yetersizliğinde gerçekleştirilen bir kan temizleme işlemi olan diyaliz
  • Böbrek ya da diğer organların nakli

Kemik ölümüne bağlı gelişen sağlık sorunları:

Altta yatan pek çok sağlık sorunu avasküler nekroz gelişimi riskini artırır.  Bunlar:

  • Diyabet
  • Gaucher hastalığı
  • HIV (AIDS)
  • Kienböck hastalığı
  • Legg Calve Perthes hastalığı
  • Lupus (deri veremi)
  • Orak hücreli anemi

Testleri

Testler ve Tanı

Pek çok bozukluk eklem ağrısına neden olabilir. Görüntüleme testleri kesin tanı koyulmasında yardımcı olabilir.

  • Röntgen: Röntgen sonuçları avasküler nekrozun erken evrelerinde genellikle normal görünür. Ama hastalığın ileri evrelerinde gerçekleşen kemik değişimlerini genellikle gösterebilir.
  • Manyetik rezonans görüntüleme (MRI). MRI taramaları avasküler nekrozun belirtisi olabilen kemikteki erken değişimleri gösterebilir.  MRI’da, iç yapıların ayrıntılı resmini görüntülemek için radyo dalgaları ve güçlü bir manyetik alan kullanılır.
  • Kemik taraması: Kemik taramasında, size damar yoluyla düşük miktarda radyoaktif madde verilir. Bu madde, kemiklerinizin hasarlı ya da iyileşmekte olan kısımlarına ilerler ve bu sorunlu bölgeler tarama filminde parlak benekler olarak görünür.
İLGİLİ MAKALE

Kalça yüzey yenileme

Prof. Dr. Tahir ÖĞÜT

sağ femur başı evre 3-4 avasküler nekrozu , sol femur başı evre 3 avasküler nekrozu. sag trokanterik bursit ( bu hastalıgın tedavisini bize açıklarmıs... devamı