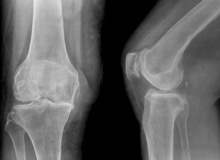
Yalancı Gut
Yalancı gut, bir ya da daha fazla eklem yerinde aniden çıkan ve ağrılı şişlikle karakterize edilen bir eklem iltihabıdır. Nöbetler, günler veya haftalarca sürebilir. Yalancı gut, genel olarak yaşlı insanlarda ortaya çıkar ve çoğunlukla dizleri etkile