- İçindekiler
- Evde Tedavi
- Tıbbi Tedavi
Evde Tedavi
Evde Tedavi
Böyle bir yaralanma evde tedavi edilmemelidir. En iyisi mümkün olduğunca acil tıbbi yardım almaktır. O bölgeyi hangi durumdaysa o şekilde sabitleyin. Bacağı kendiniz düzleştirme girişiminde bulunmayın, çünkü bacağın kan damarları ve kemiklerine başka hasarlar verebilirsiniz. Yaralanan bölgeye buz koymak ağrının bir miktar kontrol edilmesine ve şişmenin azaltılmasına yardım edebilir. Ama en önemli tedavi, bir doktorun yarayı değerlendirmesi ve dizi, eski yerine yerleştirmesi ya da koymasıdır.
Tıbbi Tedavi
Tıbbi Tedavi
- Yerine koyma: Doktor diz ekleminizi hareket ettirecek ve alt bacak, size sakinleştirici ya da genel anestezi verildikten sonra eski pozisyonuna taşınacaktır.
- Sabitleme: Daha fazla yaralanmanın oluşmasını önlemek ve iyileşmenin başlaması için, eklem eski yerine taşındıktan sonra diz ekleminin tamamı sabitlenir ya da alçıda tutulur. Bu, dizi kıvrılmaktan kurtaracak ve dokuların iyileşmesinin başlamasına yardım edecektir.
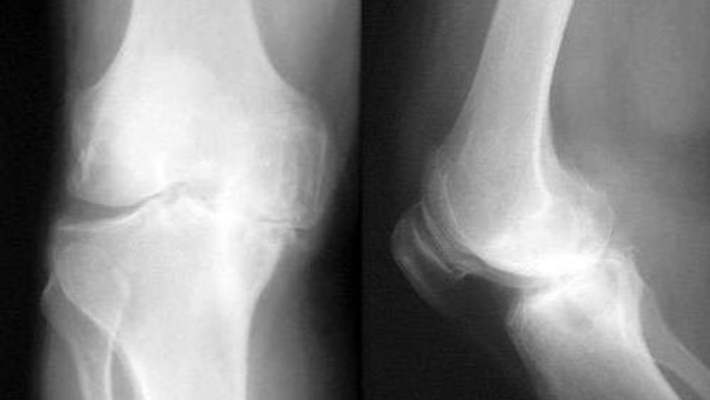
- Bir diz çıkığında neredeyse her zaman ağır bağ dokusu yırtılmaları vardır ve bazen diz kemiğinde de kırıklar oluşur. Sıklıkla bacaktaki dolaşımı onarmak için, acil tamir gerektiren kan damarı yaralanmaları da görülür. Şişme kaybolduktan sonra, diz ekleminin tekrar fonksiyon gösterebilmesi için ameliyata ihtiyaç olabilir. Bir kemik uzmanının (ortopedist) yaralanmadan sonra sizi görmesi gerekir.
Diz Kireçlenmesi Tedavisinde Güncel Yaklaşımlar
Op. Dr. Gökçe MIK
Her İki bacağımda kalça çıkığı mevcut şuan yürümekte zorlanıyorum ani hareket edemiyorum. tedavisi mümkünmü... devamı
Tendinit
Ön Çapraz Bağ Yaralanmaları
Psöriyatik Artrit
Diz Bursiti
Henoch - Schonlein Purpurası (Kan Lekeleri)